31 неделя беременности — развитие и расположение плода, ощущения. Фото и видео
Беременная становится все более неуклюжей, поэтому нужно делать все с удвоенной осторожностью и не стесняться просить у окружающих помощи. Постоянная усталость становится теперь привычным состоянием. Матка продолжает оттеснять внутренние органы, и неприятные ощущения могут усилиться. Может повыситься потливость, поэтому стоит отдавать предпочтение нарядам из натуральных тканей и чаще принимать душ. Несмотря на дискомфорт, который осталось потерпеть еще совсем немного, выглядит женщина превосходно.Улучшается состояние кожи и волос, а округлость фигуры придает беременной очень женственный и трогательный вид. Увеличвшееся давление на почки может вызывать отеки, чтобы уменьшить их, необходимо больше отдыхать. Страх перед родами и гормоны могут сделать женщину более эмоциональной. Не держите все в себе: делитесь своими переживаниями с близкими людьми, которые вас поймут и поддержат. Если ощущение страха перед предстоящими родами и материнством очень сильное – обратитесь к психологу, работающему в женской консультации.
На 31 неделе под воздействием гормона релаксина начинают слабеть соединения тазовых костей. Таким образом, тело подготавливается к прохождению ребенка через тазовое кольцо, которое становится более растяжимым. Также этот гормон может спровоцировать увеличение груди. Выделения из груди являются абсолютно естественными. Но если молозиво отсутствует, переживать тоже не стоит, это также вполне нормально.
Питание и вредные привычки
В декрете многие беременные начинают часто перекусывать, что приводит к набору лишнего веса. Старайтесь контролировать себя, так как лишний вес вреден, как для вас, так и для малыша. Не ешьте много сладкого, булочек и блюд со специями. Лучше перекусывайте йогуртами, которые улучшат обмен веществ, можно заменить сладости на сухофрукты, несладкие фрукты и орехи. Последние нежелательно есть вечером, так как они тяжело перевариваются. Также вечером лучше не есть яблок и не пить слишком много жидкости, потому что это может усилить ночные позывы в туалет.Основу меню должны составлять мясо, молочные продукты, каши и овощи. Некоторые женщины полагают, что во время беременности нельзя пить газировку. На самом деле газированные напитки разрешены, но они не должны быть сладкими. В сладких напитках много красителей, к тому же они слишком калорийные. А вот выпить немного безалкогольного кваса или минералки с газом можно. Лучше отказаться от грибов, так как они тяжело перевариваются и нередко вызывают отравления. Специи могут усиливать изжогу, а некоторые из них обладают абортивным действием.
Главным источником дискомфорта на этом сроке является живот, который увеличивается с каждым днем. Женщине сейчас очень сложно выполнять привычные действия, и во многом ей требуется помощь окружающих. Постоянная одышка, усталость, частые мочеиспускания и изжога к этому сроку становятся нормой. Терпеть такое состояние осталось совсем недолго. На теле могут появляться растяжки, для профилактики можете использовать специальные кремы или оливковое масло. А вот втирать в кожу аромамасла не стоит: некоторые из них могут вызвать на чувствительной коже ожоги.Интимная жизнь
Многие пары перестают вести интимную жизнь на третьем триместре, опасаясь за ребенка. Но если нет никаких медицинских противопоказаний, то заниматься сексом можно. Ребенок надежно защищен лобковой костью и толстой стенкой матки. Удобные на этом сроке позы – сзади или на боку. Проникновения должны быть бережными и неглубокими.puziko.org
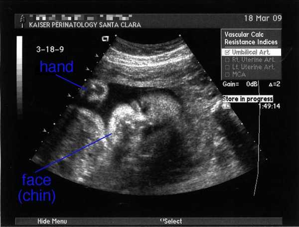
живот, фото, УЗИ, вес плода
31 неделя беременности — это седьмой акушерский месяц. Если взглянуть на календарь беременности -> беременность по неделям, то с момента зачатия прошло 211-217 дней. Большая часть пути пройдена, буквально через 7-9 недель можно будет прижать к сердцу маленькое чудо! 31 неделя беременности – очень важный период для организма как ребенка, так и будущей матери. На 31 неделе беременности будущей маме нужно быть бдительной и следить за всеми протекающими изменениями в ее организме, о которых пойдет речь в данной статье.31 неделя беременности. Развитие, размер и вес плода
- Формируется жировая ткань. Плод активно растет, формируется подкожный жир, благодаря которому не будет видно подкожных вен, кожа приобретет нежно-бежевый оттенок.
- Младенец быстро набирает массу – это его основная задача в третьем триместре беременности. Дети рождаются с весом в среднем 3,7 килограмм и ростом 50-55 сантиметров. На 31 неделе беременности ребенок весит примерно 1,6 килограмм и размер плода составляет 30-33 сантиметра в длину.
- Активно развивается ЦНС (центральная нервная система). Младенец начинает различать свет и тьму, развивается сосательный рефлекс.
- Малыш двигается не так активно, как раньше, но и не так смещен в движениях, как на поздних сроках. Чаще всего именно на 31 неделе беременности ребенок поворачивается головой в сторону матки, что является самой удобной позицией во время родов. Однако плод может повернуться раньше или позже, а может и вовсе принять другое, удобное ему, положение.
- Начинают хорошо функционировать почки. Моча выводится в околоплодные воды.
- Ноготочки достигают края пальцев.
- Ребенок на 31 неделе беременности уже может различать звуки. Он начинает запоминать голоса вокруг него, слушать музыку. Малыш может недовольно ворочаться или успокаиваться, если его ничего не будет смущать.
Очень важно контролировать свой эмоциональный фон. Мозг маленького человечка активно формируется, он уже начинает что-то понимать. И самое важное для него – эмоции и состояние матери. Ребенок пока ничего не знает, для него весь мир – женщина, которая его носит.
31 неделя беременности: шевеления, прибавка в весе, ощущения.
На 31 неделе беременности, как уже было сказано ранее, ребенок стремительно набирает вес. Будущая мама в этот момент также набирает вес. Прибавка в весе на 31 неделе составляет около 300 грамм. От момента зачатия до 31 недели беременности женщина набирает приблизительно 7-12 кг. Средний показатель – 9 кг.
Необходимо тщательно следить за своим весом. Женщина еще на ранних сроках должна скорректировать свое питание, чтобы не кормить ребенка вредной пищей. Правильное питание – это не диета, а образ жизни.
Читайте также: Правильное питание при беременности. Что можно и нельзя есть
Из-за набора веса малыша, размеров живота, прибавки в весе становится все тяжелее передвигаться, во время сна тяжело принять удобное положение тела, дыхание становится более тяжелым, глубоким. Изжога на 31 неделе беременности может стать причиной дополнительного дискомфорта. Если на предыдущих неделях изжога появлялась изредка, то на этой неделе она может быть весьма ощутимой.
На 31 неделе беременности следует внимательно следить за шевелениями. Если вы чувствуете, что во время шевелений происходят неприятные ощущения – это сигнал того, что ребеночку не хватает в достаточном количестве кислорода. Частота шевелений на 31 неделе беременности должна составлять приблизительно 1-2 раза в час. Если шевелений не наблюдается в течении 1-2 часов – это тревожный знак. Желательно обратиться к лечащему врачу за консультацией.
Следите также за отечностью ног, давлением и вашим повседневным самочувствием. К утру отечность ног должна сходить, а усталость не должна быть на протяжении всего дня в течение долгого времени. Когда нужно обратиться к врачу:
- заносит на поворотах
- частые боли в голове
- ноги сводят судорги
- рябит или темнее в глазах
Фото живота. Как выглядит живот на 31 неделе беременности
УЗИ на 31 неделе беременности
На 31 неделе беременности с помощью УЗИ можно будет определить положение ребенка, его предположительный рост и вес во время родов. Именно сейчас можно понять, будут ли роды проходить естественным путем или с помощью кесарева сечения. Однако, решение может измениться по ходу беременности: никто не может дать 100%-ных гарантий правильности развития плода.
Очень увлекательно наблюдать за действиями младенца в утробе: он уже не маленькое пятно, похожее на персик, а человек, который что-то умеет и знает. Можно увидеть, как он сосет пальчик, играет с пуповиной. Если малыш сосет палец на правой руке, то, скорее всего, родится правша, если левой – то левша.
На 31 неделе беременности можно с вероятностью 99% говорить о половой принадлежности ребенка, если, конечно, родители не хотят сделать себе сюрприз. На самом деле совсем не важно, кто это будет, девочка или мальчик, главное, чтобы малыш родился здоровым.
Важность УЗИ неоспорима. Иногда будущие матери отказываются от исследования, аргументируя это тем, что раньше женщины рожали и без него. Но сейчас наука идет вперед, с помощью этих недолгих манипуляций можно предсказать болезни или возможные нарушения в организме малыша. Отказываясь от врачебной помощи, будущая мать рискует здоровьем и жизнью своего ребенка.
Фото УЗИ на 31 неделе беременности

Возможные проблемы в женском организме
На 31 неделе беременные женщины часто испытывают многие неудобства:
- начинает болеть спина и суставы, особенно у тех, кто раньше страдал подобными недугами. Следует больше отдыхать и меньше напрягаться;
- появляются неприятные отеки. Используйте старый метод борьбы с ними – нужно принять горизонтальное положение и положить ноги на подушку;
- если ощущаются сильные боли внизу живота, которые имеют нарастающий характер и появляются кровавые выделения, следует в незамедлительном порядке вызывать скорую помощь. Это может свидетельствовать о преждевременных родах или отслойки плаценты. Ребенок еще совсем маленький и ему рано появляться на свет, но своевременная медицинская помощь позволит спасти жизнь недоношенного малыша;
- токсикоз в третьем триместре – тоже не самый лучший показатель. Он может свидетельствовать о гипоксии плода из-за того, что околоплодные воды плохо выводят результат продуктов обмена. Из-за столь продолженного токсикоза у женщины нарушается водный баланс в организме и происходит обезвоживание;
- часто наблюдаются проблемы с зубами. Во время вынашивания организм не получает необходимое количество питательных веществ, он должен распределять ресурсы еще и на ребенка. Кальций, витамин А поступают в недостаточном количестве. Эмаль зубов разрушается, а лечить зубы, используя наркоз, запрещено. Все это может плохо отразится на нервной системе малыша и матери.
Чиатйте также: Лучшие витамины для беременных. Какие витамины лучше пить?
На 31 неделе беременности плод достаточно большой. Он давит на внутренние органы, из-за чего они могут плохо функционировать. Также у женщины меняется гормональный фон. Все это может спровоцировать затруднения со стулом: запор или диарею. Это все очень серьезно, даже если на первый взгляд так не кажется.
Читайте также: Тошнота и токсикоз при беременности. Когда начинается токсикоз
Длительный запор может даже спровоцировать преждевременные роды. Клизмы, лекарства и другие препараты в большинстве случаев беременным противопоказаны, так как это может навредить малышу. Первое, что нужно сделать – это пересмотреть свой рацион питания. От запоров хорошо помогают отруби, свежие овощи и фрукты.
Во время беременности женщина сталкивается со многими проблемами, которые нарушают ее эстетическую красоту. Могут появляться пигментные пятна, прыщи, папилломы, кожа может быть слишком сухой, отечной.
Выделения на 31 неделе беременности
В норме на 31 неделе беременности выделения светлого или светло-серого цвета. Выделения на 31 неделе беременности должны быть однородными и не иметь запаха. Количество выделений значительно возрастает за счет притока крови в половые органы.
Если выделения на 31 неделе беременности резко меняют свой цвет на зеленый или желтый, имеют творожистый вид, неприятный запах – это те сигналы, когда необходима медицинская консультация и обследование. Зеленый и желтый цвет выделений говорят об инфекционных заболеваниях. Творожистые выделения обусловлены появлением молочницы.
Читайте также: Лечение молочницы у женщин
Кровянистые, алые, коричневые и темно-коричневые выделения говорят о преждевременных родах или отслойки плаценты. Любые кровянистые выделения на 31 неделе беременности – тревожный сигнал. Необходимо незамедлительно обратиться за врачебной помощью.
Рекомендации для будущих мамочек на 31 неделе беременности
На 31 неделе беременности активно растет грудь, подготавливаясь к процессу грудного вскармливания. Поэтому в это время будущим мамам очень важно поддерживать в организме водно-солевой баланс. Нужно ограничить количество соленой пищи, пить больше чистой воды. Это очень важно для здоровья ребенка и правильного его формирования.
Также довольно распространена проблема сильного выпадения волос, зачастую из-за стресса и недостатка питательных веществ. Если женщина вынашивает девочку, волосы выпадают более активно. Этому есть научное объяснение. Развиваясь, девочка использует больше женских гормонов матери, а мальчик – мужские.
Все активные методы по борьбе с выпадением волос нужно отложить на время после родов. Но есть кое-что, что разрешено даже женщинам в положении:
- Массаж головы для стимулирования прилива крови к луковицам волос.
- Маски для волос из натуральных не жгучих продуктов.
- Корректировка питания.
Во время беременности нужно тщательно следить за своим здоровьем, так как теперь женщина отвечает не только за свою жизнь, но и за жизнь своего ребенка. Иммунитет, как и метаболизм будущей мамы не настолько крепкий, как до беременности. Много витаминов, полезных микроэлементов, веществ, которые необходимы организму, уходят на формирование и развитие плода.
Простуду, кашель и насморк теперь подхватить гораздо легче, а вылечить сложнее. Большинство препаратов по борьбе с ОРВИ имеют противопоказания, в которых сказано, что беременным их употреблять нельзя. Для профилактики простудных заболеваний можно придерживаться простых рекомендаций:
- Тепло одеваться, особенно в холодное время года. Избегать сквозняков, переохлаждения и нахождения в комнате с открытыми окнами в холодное время года.
- Пить комплекс витаминов, поддерживающих иммунную систему.
- Не пить холодные жидкости, ограничить употребление мороженого и освежающих напитков.
- Соблюдать постельный режим, пить больше теплой жидкости, правильно питаться и сильно не переутомляться.
Если же опасности не удалось миновать, нужно сразу же обратиться к врачу, не прибегая к самолечению. Не принимайте лекарства без рекомендаций врача: даже привычные анальгин и парацетамол во время беременности могут нанести вред здоровью будущего малыша. Не стоит увлекаться и средствами народной медицины, лучше положиться на рекомендации квалифицированного специалиста.
Часто задаваемые вопросы женщин, находящихся на 31 неделе беременности
Вопрос: Набрала 10 килограмм, а еще только 31 неделя беременности? Это нормально?
Ответ: В среднем, женщина к 31 неделе беременности набирает 7-12 килограмм. Если вы не чувствуете никаких неудобств или болей, все в порядке. Необходимо следить за своим питанием и придерживаться рекомендаций врача.
Вопрос: У меня ребенок лежит поперечно и шея обвита пуповиной? Его здоровью что-нибудь угрожает? Будут ли делать кесарево сечение?
Ответ: На 31 неделе беременности рано говорить о том, как будут проходить роды. Ребенок может еще не раз перевернуться. Более точно способ проведения родов можно будет определить на 36 неделе.
Вопрос: Очень сильная головная боль, что делать?
Ответ: Лучше всего обратиться к врачу. Если головная боль сильная и долго не проходит, это плохой признак, который может свидетельствовать о серьезных нарушениях. На 31 неделе беременности от простой головной боли можно выпить цитрамон и горячий чай с лимоном.
Читайте также: Как избавиться от головной боли при беременности
Вопрос: Можно ли совершать продолжительные поездки на 31 неделе беременности?
Ответ: Можно, но нежелательно, особенно поездки длительностью больше 4 часов. Но если поездки не избежать, нужно по мере возможности создать комфортную обстановку.
Вопрос: Обязательно ли делать УЗИ на 31 неделе беременности, если делали 10 недель назад?
Ответ: Плановые УЗИ делаются в каждом триместре. Процедура может выявить патологии и другие проблемы. В третьем триместре УЗИ проводится с 30 по 36 неделю в зависимости от того, когда УЗИ делалось ранее. Точные сроки проведения УЗИ на 3-м триместре устанавливает лечащий врач
Вопрос: Нужно ли собирать сумку в роддом на 31 неделе беременности?
Ответ: 31 неделя беременности – ранний, но возможный срок для родов. Обычно женщины рожают ближе к 38-40 неделям. Но сумку можно собрать заранее, так как зачастую нельзя сказать наверняка, когда ребенок решит родиться.
Читайте также: Список вещей в роддом. Что нужно брать в роддом. Сумка в роддом
31 неделя беременности — видео
Узнайте больше про следующие недели беременности: 32 неделя беременности, 33 неделя беременности, 34 неделя беременности, 35 неделя беременности, 36 неделя беременности
babyrebenok.ru
что происходит с малышом, вес ребенка, размер плода, отеки, фото, УЗИ
Возможные проблемы
Боли
Гормональные изменения, увеличение матки и нагрузка на опорно-двигательный аппарат провоцируют возникновение болей в разных частях тела. Интенсивность и частота этих ощущений зависят от индивидуальных особенностей организма будущей мамы. Очень важно не терпеть боль, лучше сразу же рассказывать о ней врачу, даже если она была незначительной. Только гинеколог может сказать, имеется ли угроза беременности.
- Боли в пояснице возникают из-за увеличения веса беременной и нагрузки на спину. Чтобы минимизировать неприятные ощущения, врачи советуют использовать бандаж, который фиксирует живот и разгружает поясничный отдел.
- Боли в кишечнике и в заднем проходе – распространенное недомогание, когда наступает 31 неделя беременности. Возникают из-за давления матки на органы пищеварения, переработка пищи замедляется, что приводит к запорам и геморрою.
- Боли в икроножных мышцах появляются из-за возросшей нагрузки на ноги и отеков. Иногда причиной судорог становится нехватка кальция.
Роды на 31 неделе

31 акушерская неделя беременности таит в себе разные опасности, одна из которых – преждевременные роды. Раннее появление ребенка на свет угрожает его жизни, ведь организм еще не готов к самостоятельному функционированию. Тем не менее, при условии оказания качественной медицинской помощи и наличия необходимого оборудования, малыш сможет выжить и нормально развиваться. Причинами преждевременных родов могут быть различные патологии в развитии плода, вредные привычки, возраст беременной, выкидыши в прошлом, стресс и физическое перенапряжение.
К симптомам преждевременных родов относится боль в нижней части живота, кровянистые выделения, отхождение околоплодных вод, частое мочеиспускание. Верный признак того, что ребенок готовится выйти на свет, – сильные и частые схватки. Нужно срочно звонить в скорую помощь или самостоятельно ехать в роддом.
Выделения на 31-й акушерской неделе беременности
При благополучном течении беременности будущая мама ежедневно обнаруживает на своем нижнем белье светло-молочные выделения без запаха и различных вкраплений.
Резкое изменение цвета влагалищного секрета, появление неприятного запаха, зуда или боли – это повод пойти на гинекологический осмотр.
Довольно часто на 31 неделе беременные женщины страдают молочницей – инфекцией, которая поражает слизистую влагалища. Это заболевание поддается эффективному лечению. Необходимо своевременно обратиться к врачу, чтобы не допустить внутриутробного инфицирования плода.
Давление и отеки
После 30 недели беременности нужно внимательно следить за артериальным давлением и отеками. Дело в том, что в последние несколько месяцев до родов некоторые женщины подвержены такой опасности, как развитие позднего токсикоза – гестоза. Это очень серьезное заболевание, при котором под угрозой находится жизнь не только ребенка, но и матери. Нужна срочная медицинская помощь, любое промедление может привести к летальному исходу.
Каковы симптомы гестоза? К ним относятся тошнота, рвота, обморок, слабость, высокое давление, накопление жидкости в организме. Если женщину постоянно тошнит и при этом у нее сильные отеки на 31 неделе беременности, это может быть поздний токсикоз. При подтверждении диагноза врачи делают кесарево сечение, чтобы сохранить жизнь маме и ребенку.
Интимная жизнь
При отсутствии недомоганий у будущей мамы возможно продолжение интимных отношений. Однако стоит помнить о том, что на календаре 31-я неделя беременности и любая неосторожность в данном вопросе может привести к нежелательным последствиям. Чтобы не навредить здоровью ребенка, будущая мама должна внимательно следить за своим самочувствием.
Врачи могут назначить половой покой, если речь идет о беременности двойней или имеется риск преждевременного появления ребенка на свет.
Необходимые исследования
Два раза в неделю врач-гинеколог проводит прием, на котором оценивает самочувствие мамы и малыша. Перед походом к доктору женщина должна сдать необходимые анализы:
- общеклинический анализ крови;
- общий анализ мочи;
- мазок на микрофлору влагалища;
- титр антител (только в том случае, если есть резус-конфликт).
Регулярный осмотр у врача – это возможность сохранить свое самочувствие в норме и не допустить развития болезней. Врач контролирует состояние плода, прослушивая его сердцебиение, а также наблюдает за мамой, измеряя давление, вес, окружность живота. Все данные записываются в обменную карту, которую женщина должна носить с собой. На поздних сроках роды могут начаться в любой момент и, когда беременная поступит в роддом, акушер-гинеколог сможет по медкарте понять, какой способ родоразрешения выбрать – естественный или искусственный.
УЗИ малыша
Для многих будущих мам тридцать первая неделя беременности – время прохождения третьего планового УЗИ. Этот метод исследования, наряду с тройным тестом (анализ крови на гормоны ХГЧ и эстриол свободный, белок альфа-фетопротеин), дает полную картину относительно состояния здоровья ребенка. С его помощью врач может выявить отклонения в развитии, а также проанализировать состояние детского места: предлежание и степень зрелости плаценты, количество околоплодных вод.
Иногда бывает так, что на первых плановых УЗИ врач не может назвать пол ребенка по причине «закрытой» позы плода или устаревшего оборудования. Для родителей, ожидающих девочек и ожидающих мальчиков, третье исследование методом ультразвука – это возможность узнать, кто в скором времени пополнит семью.
www.babyblog.ru
что происходит с малышом и мамой?
Тридцать первая неделя чаще всего протекает спокойно во всех отношениях: будущая мама уже отдыхает от работы, находясь в предвкушении прекрасного момента встречи с малышом. Каких-то совсем новых ощущений на этом сроке ожидать не приходится, правда, уже чувствуется увеличившийся вес малыша. Бандаж становится насущной необходимостью, все чаще хочется полежать, отдохнуть. Посмотрим, чем характеризуется тридцать одна неделя ожидания ребенка и что происходит с малышом.
Оглавление
- 31 неделя беременности: что происходит с дуэтом «мама-ребенок»
- 31 неделя беременности: развитие плода
- Роды на 31 неделе беременности
- Вес плода на 31 неделе беременности: норма
- Секс на 31 неделе беременности
- 31 неделя беременности: что происходит с малышом
- УЗИ на 31 неделе беременности
- Заболевания на 31 неделе
31 неделя беременности: что происходит с дуэтом «мама-ребенок»?
На 31 неделе развитие беременности идет своим чередом. Будущая мама знает, что срок ее беременности подошел к 7,5 месяцам.

Третий триместр в разгаре. Наступление 31-ой недели означает, что пора понемногу собирать сумку с вещами в роддом. Можете ознакомиться со списком необходимого на роды и выписку для мамы и малыша.
Женщина к этому моменту набрала порядка 10-12 кг. Она испытывает порой не слишком приятные ощущения:
- одышку;
- боли и судороги в ногах;
- тяжесть в икроножных мышцах;
- периодические боли в животе;
- изжогу.
Причины бессонницы у беременных в 3 триместре
Изжога и одышка – характерны для этого срока, эти явления происходят из-за поднятия матки в брюшную полость и смещения внутренних органов. Во время перистальтических движений, наклонов и при изменении положения тела содержимое желудка забрасывается в пищевод. Диафрагма приподнимает легкие и частично происходит сдавливание легочной ткани. С изжогой можно успешно справиться с помощью сырой моркови или ее свежеприготовленного сока. Они имеют щелочную среду и без последствий нейтрализуют содержимое желудка.
Если болит низ живота, тянет поясницу, болит лобковая кость и спина, знайте – происходит размягчение суставных тканей и связок, вс больше смещается центр тяжести. Родовые пути готовятся к прохождению по ним малыша. Все эти ощущения и боли не прибавляют радости, но будущую мать должно успокаивать, что это скоро пройдет. Матка продолжает тренироваться — живот каменеет на короткое время и снова становится мягким.
stanumamoy.com.ua
вес, рост и развитие плода, УЗИ
Содержание:Все ближе роды, вам осталось всего девять недель. Сейчас нужно всегда носить с собой обменную карту и свои документы, так как иногда роды могут начаться ранее срока. И хотя малышу еще нужно созревать и расти, если он появится сейчас – его шансы на нормальную здоровую жизнь очень велики, ему потребуется только некоторая помощь медиков. Ваше тело сильно изменилось, вам уже тяжело носить свой животик, сейчас, когда вы уже в декретном отпуске, нужно больше времени посвящать себе и малышу в животике.
к содержанию ↑Вес, рост, развитие плода на 31 неделе
На этой неделе ребенок весит около 1700 гр, и в длину достигает до 41 см. Малыш весом с кокос.
К этому сроку все основные органы и системы ребенка уже сформировались и начали работать более слаженно. Сейчас же развитие малыша в основном направлено на набор веса и укрепление мышц. Темп его роста при этом несколько замедляется. Под кожей ребенка появляется жировая прослойка, вследствие чего складки и морщинки на его теле постепенно разглаживаются.
Особенно хорошо развита подкожно-жировая прослойка на щечках плода. Но если вдруг малыш начнет терять в весе, то в первую очередь жир будет уходить с этих участков, что облегчит сосание материнской груди.В дальнейшем у новорожденного подкожный жир будет выполнять терморегулирующую функцию, уберегая его от замерзания. Первородная смазка на коже малыша еще присутствует, но ее количество уменьшается.
К моменту родов большая часть ее совсем исчезнет вместе с пушком лануго, покрывающим тело ребенка. Как и на предыдущих неделях, на этом сроке активно развивается и растет головной мозг.
Продолжается процесс формирования борозд и извилин, дифференциации центров его коры. Интересно отметить, что к 31 неделе масса мозга плода составляет почти четвертую часть от массы головного мозга взрослого. Продолжают развиваться органы чувств малыша. Он может дышать, вдыхая и выдыхая околоплодные воды.
Кстати, у ребенка начинают функционировать обонятельные рецепторы, благодаря чему он может ощущать запах и даже вкус околоплодных вод, который будет зависеть, в частности, от питания беременной. Например, употребление чеснока и других пряных или острых продуктов может оказаться «не по вкусу» ребенку и вызвать его бурную реакцию.
На 31 неделе зрачки крохи по-прежнему реагируют только на свет и темноту. При воздействии слишком яркого освещения малыш даже может зажмуриться, а различать цвета он научится лишь спустя некоторое время после рождения.Также к этому сроку открываются слезные каналы, поэтому малыш уже способен плакать. В волосяном покрове и радужной оболочке глаз, определяющей цвет глаз ребенка, продолжается накопление пигмента. В радужной оболочке накопление меланина идет медленнее, поэтому многие дети рождаются со светлыми серо-голубыми глазами, а заложенный генетически цвет глаз устанавливается примерно к 6 месяцам после рождения.
В случае родов на 31 недели, ребенку потребуется хороший медицинский уход. Он будет считаться недоношенным и будет иметь шансы на выживание. У ребенка в этом возрасте легкие являются недостаточно зрелыми, а подкожно-жировой слой плохо развит. Необходимы такие процедуры, как помещение в инкубатор и искусственная вентиляция легких.
к содержанию ↑УЗИ на 31 неделе беременности
На 31-34 неделе беременные женщины проходят третье ультразвуковое сканирование. При наличии определенных показаний специалисты назначают дополнительные УЗИ. В процессе исследования на 31 неделе: определяется предлежание; выясняются значения фетометрических показателей; оценивается анатомия плода; определяется расположение плаценты, ее толщина, выявляется обвитие вокруг шеи плода; дается оценка двигательной активности плода.


Третье УЗИ — это итоговый контроль за состоянием плода, его положением, оценка функциональности плаценты и выбор метода родоразрешения. Это плановое ультразвуковое исследование чаще всего показывает следующие ненормальные состояния:
- плод в поперечном положении;
- плод в косом положении;
- предлежание плаценты;
- многоводие;
- заболевания, которые ранее не были выявлены.
В ходе УЗИ также оценивается анатомия плода. Здесь указываются внутренние органы и отмечается, присуща ли им норма, нету ли каких-то патологических изменений. Также в документе даются характеристики плаценты. Они отражают ее способность снабжать плод всеми необходимыми веществами.
к содержанию ↑Ощущение и состояние беременной на 31 неделе
На 31 неделе беременности происходит изменение и во внешности. Многие мамы отмечают, что их волосы и ногти быстрее растут, кожа выглядит здоровой и сияющей. Это происходит благодаря повышенной выработке эстрогена – женского полового гормона. Иногда состояние кожи, наоборот, ухудшается – на ней появляется акне, сосудистая сетка, пигментация.
Подбирать косметические средства следует осторожно, после консультации с дерматологом, так как в них могут содержаться нежелательные для использования во время беременности вещества.
Грудь увеличивается и меняет форму. Это происходит из-за роста молочных долей, которые готовятся к многомесячному кормлению ребенка. За весь период беременности грудь станет тяжелее на 0,5-1,5 кг.
На этом сроке довольно часто возникают боли в нижней части спины, моча приобретает неприятный запах и темно-желтый цвет, лабораторная диагностика показывает наличие в ней солей и повышенного количества белка.
Врачом, вероятнее всего, будет поставлен диагноз «пиелонефрит беременных». Запускать болезнь ни в коем случае нельзя, так как бактерия, поразившая почки, может проникнуть в плаценту и инфицировать ребенка, что чревато поражением его органов и нарушениями в развитии.
Чтобы предотвратить это, могут быть назначены щадящие антибактериальные препараты, которые нейтрализуют инфекцию и при этом не нанесут вреда ребенку. Из-за увеличения объемов жидкости в организме повышается нагрузка на почки.
Если до беременности женщина страдала хроническими заболеваниями мочевыводящей системы, они почти наверняка дадут о себе знать.
По мере роста матка будет подниматься все выше, подпирая диафрагму и ребра и доставляя женщине дискомфорт. Несмотря на то, что на 31-й неделе размер живота еще не слишком велик, он уже оказывает негативное влияние на осанку беременной. Из-за смещения центра тяжести позвоночник будущей мамы оказывается выгнутым, походка тяжелеет, появляются боли в пояснице.
Однако торопиться покупать бандаж не стоит до тех пор, пока малыш не перевернется вверх ножками, а чтобы облегчить свое состояние, можно приобрести специальные компрессионные колготы для беременных.
В среднем к 31 недели беременности будущая мама должна набрать 7,5-10,5 кг. Если этого не произошло, доктор может назначить дополнительные обследования для проверки количества околоплодных вод. Оно должно составлять около 1 л, но при многоводии может превышать 2 л, а при маловодии сокращаться до 500 мл.
к содержанию ↑Возможные риски и опасности 31 недели
Что касается рисков на 31 неделе, то их достаточно, поскольку она входит в четвертый критический период беременности.
Так, если на этом этапе беременности женщина будет получать слишком мало витамина Д, в будущем это может спровоцировать развитие рахита у ребёнка. Недостаток кальция в рационе приводит к его вымыванию из стенок сосудов матери, что вызывает развитие варикозного расширения вен.
Опасность представляет превышение допустимых прибавок веса. Нередко оно приводит к послеродовому ожирению, метаболическому синдрому и даже сахарному диабету II типа.
В третьем триместре резко вырастает вероятность развития опаснейшего осложнения беременности – преэклампсии и эклампсии. Предшествует ей гестоз – состояние с неясным патогенезом и этиологией. Его главные симптомы – повышение давления, появление белка в моче и отёки.
Методов лечения этого состояния не существует, поэтому врач просто наблюдает за пациенткой и старается по возможности уменьшить симптоматику. Если осложнение прогрессирует, может начаться преклампсия.
Её симптомы – сильное повышение давления, тошнота и рвота, головная боль и характерные «мушки» перед глазами. Если нормализировать состояние не удаётся, проводится досрочное оперативное родоразрешение. Если сделать это вовремя – шансы спасти жизнь женщины и ребёнка очень высоки.
При несвоевременном обращении в больницу или слишком интенсивном нарастании симптомов врачи могут не успеть отреагировать, и тогда наступает эклампсия – судороги. Женщина может погибнуть во время приступа или после него от кровоизлияния, асфиксии или отёка лёгких. Плод также нередко погибает от гипоксии.
к содержанию ↑Рекомендации беременной на 31 неделе
Для поддержания энергии и хорошего самочувствия очень полезны пешые прогулки на свежем воздухе и умеренные физические упражнения.
Главное здесь – не переусердствовать и не доводить себя до усталости. Оптимальным вариантом физической активности на этом сроке считаются плавание, фитнес для беременных, занятия на фитболе.
- Не нужно пытаться переделать всю домашнюю работу сразу, это может плохо отразиться на самочувствии.
- Исключите любые надавливания на живот. Тесная одежда может спровоцировать спазм сосудов, что может стать причиной недостаточного набора веса ребенка и отставания в развитии. По этой же причине не рекомендуется спать на спине.
- Научитесь медленно вставать с постели. Резкие движения могут принести боль. Если следить за осанкой, можно существенно снизить болевые ощущения в спине.
- Если вас часто преследуют страхи и тревоги, поговорите с кем-то об этом. Поделившись своими тревогами, они уже не будут казаться такими серьезными.
В случае усталости ног и болей в пояснице, делайте упражнение — коленно-локтевое положение, то есть встать на четвереньки, опустив плечи и голову вниз. В такой позе расслабляется позвоночник, не чувствует нагрузка живота также помогает нормализовать тонус матки, улучшить поступление кислорода к малышу.
Не забывайте посещать врача, теперь вы ходите в женскую консультацию намного чаще. Сейчас очень важно контролировать ваш вес, артериальное давление. Следуйте всем советам вашего врача-гинеколога.
При появлении болей в районе живота, кровянистых выделений из влагалища, начала схваток нужно немедленно обратиться за медицинской помощью. Обменную карту рекомендуется всегда иметь при себе.
С 31 недели будущие мамы могут посещать курсы для беременных. В женских консультациях проводят неплохие курсы на бесплатной основе.
Секс на 31 неделе беременности
Хотя 31-я неделя «интересного положения» – достаточно серьезный срок, тем не менее, интимная близость в этот период пока еще допустима. Если физическое состояние женщины – хорошее, и нет никаких угроз для ребенка, будущие родители могут заниматься сексом без каких-либо опасений. Выбирайте только самые безопасные и удобные для вас позы.
child-blog.ru
31 неделя беременности — развитие плода, фото, узи, живот и шевеления на 31 неделе
Ну вот и подходит к концу седьмой месяц беременности. Обычно к этому моменту мамочка уже вышла в декрет, а это означает, что у нее появилось больше времени для отдыха и подготовки к родам — ведь они уже не за горами! Если к этому моменту вы еще не определились, где появится на свет ваш малыш — самое время заняться поисками родильного дома и человека, который поможет вам и вашему ребенку. Также это время весьма благоприятно для того, чтобы вы с будущим папой малыша начали ходить на курсы молодых родителей — информация не забудется до родов, а вы будете хорошо к ним подготовлены.
31 акушерская неделя беременности — это уже семь месяца и три недели (один акушерский месяц включает четыре недели).
Что происходит?
Плод на 31 неделе беременности

Малыш продолжает расти, а значит, за эту неделю мамочка наберет около 300 грамм. Необходимо внимательно следить за своим состоянием — нет ли отеков, не превышаете ли вы нормальную прибавку в весе для этого срока.
Малыш активно растет — еженедельно он набирает около 200г, и на 31 неделе беременности вес ребенка составляет около 1500г (диапазон веса 1400–1600г), а рост больше 40см.
Вместе с малышом растут и его органы — мозг в этот момент активно увеличивается, достигая отметки 25% от взрослого, все органы созревают. Начинает накапливаться подкожная жировая клетчатка, которая в дальнейшем будет отвечать за поддержание стабильной температуры малыша.
Ребенок начинает активно мочиться — это означает, что его почки начали работать и выводить из организма ненужные вещества самостоятельно, хотя большая их часть, конечно, все еще выводится мамой.
В легких начинает вырабатываться специальное вещество, ответственное за раскрытие легких после рождения малыша — сурфактант. Именно поэтому у малышей, родившихся после 31 недели беременности, гораздо больше шансов — ведь их органы уже потихоньку начинают функционировать.
Цвет глазок малыша на 31 неделе беременности по-прежнему голубой, но постепенно в радужке начинает скапливаться пигмент. Несмотря на это, при рождении цвет глазок вашего малыша, скорее всего, будет светлым, а настоящий оттенок глазки приобретут в течение нескольких месяцев после рождения.
Ребенок хорошо реагирует на свет, может жмуриться, если на животик попадает яркий свет, а его зрачки активно реагируют на смену освещения.
Живот на 31 неделе беременности





Матка продолжает увеличиваться, достигая 32 см над лонным симфизом. Периодически отмечаются ложные схватки — организм тренируется перед родами. Из-за увеличившегося размера матки возможны тянущие боли в животе. Боли эти не слишком интенсивны, при нарастании интенсивности и продолжительности болей необходимо обязательно обратиться к врачу.
Фото малыша, УЗИ





Правильное питание
Живот увеличился в размерах еще больше, будущая мамочка начинает испытывать дискомфорт, связанный со сдавлением внутренних органов: изжога, запоры. Кроме того, эти явления усиливаются прогестероном. Для того чтобы избежать этих неприятностей, придется немного изменить распорядок дня и диету.
Кушать нужно не менее пяти-шести раз в день, маленькими порциями — так у вас не будет чувства переполненности желудка и изжоги.
В рацион питания нужно добавить больше продуктов, облегчающих опорожнение кишечника (в основном это клетчатка) и исключить все, что вызывает метеоризм.
Ребеночек сейчас активно растет, поэтому в рационе его мамы должно быть достаточное количество питательных веществ и витаминов. Рацион питания должен быть разнообразным, обязательно включать первые блюда.
Стоит пристально следить за количеством поглощаемой пищи — на поздних сроках женщины обычно испытывают постоянное чувство голода. Однако потакать себе не стоит — ведь чем больше вы наберете веса за время беременности, тем труднее вам придется во время родов.
Шевеления плода на 31 неделе беременности

Малыш активен, но из-за того, что он уже значительно подрос, он не имеет возможности вести себя также активно, как раньше. Поэтому мамочке нужно тщательно следить за движениями плода: в женской консультации вам выдадут специальный дневник, в котором нужно будет отмечать все шевеления. В норме малыш шевелится не менее 20 раз за сутки, или 4 раза в час в период отдыха.
Ощущения мамы

В этот период организм уже начинает готовиться к родам — часто повышается тонус матки, отмечаются тренировочные схватки. В организме начинает вырабатываться гормон, который вызывает ослабление лонного сочленения, из-за чего кости таза начинают расходиться — так ребеночку будет легче родиться. Походка начинает напоминать утиную — не переживайте, после родов все вернется на круги своя.
Будущую маму часто беспокоит усталость, боли в спине и ногах. На этом этапе мамочкам рекомендуется больше отдыхать, однако значительно снижать свою активность не стоит — так вы сделаете только хуже. Нужно ежедневно совершать прогулки на свежем воздухе, заниматься специальной гимнастикой для беременных.
Если ноги слишком устают, появляются варикозно расширенные вены — попросите мужа по вечерам делать вам мягкий массаж ступней и голеней, это значительно облегчит состояние ножек и снимет усталость.
Нужно постоянно следить за весом — существенная прибавка может говорить не только о переедании, но и об отеках, что достаточно опасно на 31-ой неделе беременности. Также нужно регулярно измерять давление — именно в этом сроке оно начинает колебаться, у большинства мамочек повышаясь, а у некоторых наоборот — понижаясь.
Кроме проблем с желудком, мамы часто жалуются на выраженное головокружение и слабость в положении на спине. Это связано со сдавлением сосудов брюшной полости увеличенной маткой. Мамочкам в 31 неделю беременности не рекомендуется лежать на спине. Гораздо лучше будет отдыхать на боку или полусидя.
Часто на 31 неделе беременности мамочки жалуются на проблемы со сном — из-за большого живота, сдавливающего внутренности, им трудно заснуть, а в течение ночи еще и приходится часто вставать в туалет — мочевой пузырь также сдавливается маткой. Кроме того, на поздних сроках мамочек часто начинают мучить кошмары про беременность и малыша. Делитесь своими страхами с близкими — они поддержат вас и помогут развеять беспокойство.
Выделения на 31 неделе беременности становятся обильнее из-за усиления кровоснабжения тазовых органов. Однако они не должны сопровождаться неприятными ощущениями, иметь выраженный запах или цвет. Если у вас отмечаются кровянистые выделения — нужно срочно обратиться к врачу, это может быть признаком отслойки плаценты или начавшихся преждевременных родов. Также стоит обеспокоиться при появлении обильных водянистых выделений — подтекание околоплодных вод грозит инфекциями малышу.
В этом сроке у женщины может начать выделяться молозиво — грудь тоже готовится к появлению малыша. В этот период стоит носить с собой специальные вкладыши для груди — ведь молозиво может начать подтекать в самый неподходящий момент. Чтобы не портить себе настроение, всегда носите вкладыши в сумочке.
Боли на 31 неделе беременности
Боли могут сопровождать мамочку постоянно — это и боли в спине, и боли в ногах, и тянущие боли в животе. Если эти боли не становятся очень интенсивными, беспокоиться не стоит — на данном сроке беременности волнообразные тянущие боли в животе — это норма. Если же боль становится постоянной, матка на ощупь очень плотная — стоит обратиться к врачу, потому что постоянный повышенный тонус матки говорит о проблемах и возможности преждевременных родов.
Необходимые исследования и анализы
На этом сроке визиты к врачу осуществляются каждые две недели. На приеме гинеколог осмотрит вас, измерит размеры живота и высоту дна матки, прослушает сердцебиение плода. При необходимости врач может повторно назначить анализы мочи, крови. УЗИ на 31 неделе беременности показано только в тех ситуациях, когда есть сомнения в состоянии плода. Если же ваша беременность протекает нормально, а доктор не видит поводов для беспокойства — УЗИ повторять не нужно.
31 неделя беременности двойней проходит немного не так, как обычная беременность. Во-первых, каждый из малышей может быть меньше размерами, чем должен быть ребенок к этому сроку. Во-вторых, довольно часто беременность двойней заканчивается родами в сроке после 30 недель. Конечно, ничего приятного в этом нет, но в таком сроке детки уже достаточно сформированы и имеют все шансы вырасти здоровыми.
Еще одна проблема двойняшек — они гораздо менее подвижны, чем один малыш, а поэтому зачастую сохраняют до родов то положение, в котором находятся в 31 неделю. Перевернуть одного из малышей вряд ли удастся, поэтому в такой ситуации может понадобиться кесарево сечение.
Конечно, мамочке двойняшек нужно уделять своему состоянию и двойное внимание — ведь она должна обеспечить всем необходимым не только себя, но и сразу двух малышей. Поэтому для нее правильное питание с достаточным содержанием витаминов имеет особое значение.
Секс на 31 неделе беременности

Секс совершенно не возбраняется — до родов еще далеко. И если у вас нет противопоказаний (многоплодная беременность, предлежание плаценты, матка в тонусе), то вы с мужем вполне можете продолжать баловать себя интимными отношениями. Конечно, следует соблюдать осторожность — секс не должен быть слишком бурным и жестким, позы лучше подбирать такие, где мужчина находится сзади; следует ограничивать глубину проникновения. Но главное — знайте, что навредить ребенку во время секса практически невозможно, поэтому не стоит отказывать себе в удовольствии из-за этого распространенного страха.
Полезное видео
Вопросы — ответы
У меня 31 неделя беременности, периодически каменеет живот и болит. Но через несколько минут это проходит. Что это такое?
На 31 неделе беременности у вас могут быть тренировочные схватки (Брекстона-Гикса) — они возникают и волнообразно распространяются по матке, затем все ощущения бесследно проходят. Обычно тренировочные схватки кратковременные (не больше двух минут), не вызывают интенсивных болей. В этом момент может быть ощущение, что живот каменеет, появляются тянущие боли внизу живота. Судя по вашему описанию, беспокоиться не о чем.
Сейчас пошла 31 неделя беременности, мало шевелится плод по сравнению с предыдущими сроками — это нормально?
Плод к 31 неделе становится более крупным по отношению к размерам матки и количеству околоплодных вод, чем раньше. Из-за того, что в матке ему становится тесно, объем движений плода уменьшается — ведь он уже не может так свободно двигаться, как раньше. Для того чтобы будущая мамочка точно понимала, все ли нормально с малышом, она должна вести дневник шевелений плода — в норме количество движений составляет 4 за час в период покоя или 10 за двенадцать часов. Если количество движений стабильно ниже этих цифр — это может указывать на гипоксию плода, необходимо обратиться к врачу.
Появилась сильная изжога, но до этого никогда таких проблем не было. Может, у меня гастрит?
К 31 неделе беременности матка достигает достаточно больших размеров, сдавливая все внутренние органы, в том числе и желудок. Из-за этого возникают тошнота и изжога. Что такое изжога — это заброс кислоты из желудка в пищевод из-за повышения давления в желудке и расслабления желудочных сфинктеров. Бороться с этим явлением тяжело, но можно — кушать по чуть-чуть и часто, во время изжоги пить молоко.
У нас с малышом подходит уже 31 неделя беременности, положение плода все еще тазовое. Я переживаю — сможет ли малыш перевернуться до родов? Можно ли как-то его перевернуть?
Вплоть до 32 недели беременности врачи считают тазовое положение вашего малыша нормальным — ведь он еще достаточно подвижен и может несколько раз в день менять свое положение в матке. Предпринимать какие-то меры для изменения положения плода стоит только после 32 недели и только под наблюдением врачей — ведь часто малышу не дают перевернуться пуповина, миоматозные узлы или другие проблемы. В такой ситуации вы можете только повредить ему, поэтому не предпринимайте никаких действий раньше 32 недели и без рекомендации врача.
www.doctorfm.ru
31 неделя беременности — что происходит с малышом и мамой
На 31-й неделе беременности вес плода составит около 1,6 кг, полный рост – 38-39 см. У малыша начинают функционировать нервные окончания, появляется болевая чувствительность. У мамы возможны нарушения ночного сна из-за активных и сильных толчков плода. Настало время изучить вопросы обезболивания при родах.
Содержание статьи

Сколько месяцев?
31-я акушерская неделя – это восьмой лунный месяц беременности. От зачатия пошла приблизительно 29-я неделя. Интересное о сроках читайте тут: Сроки беременности: акушерский и эмбриональный — как определить и не запутаться в сроках — http://razvitie-krohi.ru/beremennost/kak-opredelit-srok-beremennosti.html
Развитие плода

В первом триместре беременности каждая неделя вносила в развитие плода огромные изменения. Сейчас у вашего малыша давно уже сформированы все органы и системы. Главное направление дальнейшего развития – это совершенствование головного мозга и нервной системы. Например, у плода развиваются нервные окончания. Это означает появление общей и болевой чувствительности. Сами нервные волокна с каждым днём всё лучше и лучше проводят сигналы головного мозга к нервным окончаниям и обратно. Это сложнейший процесс, который для нас проходит незаметно, но на деле управляет всей нашей жизнедеятельностью.
У малыша начинают вырабатываться естественные защитные реакции. Например, если сейчас при рефлекторном движении руки кулачок случайно попадёт в глаз, веки самопроизвольно сомкнутся, чтобы защитить глазное яблоко.
Кроме того, тело ребёнка готовится к предстоящей жизни вне организма матери. У плода продолжается развитие подкожного жира. Благодаря этому веществу кожа малыша постепенно утрачивает ярко-красный цвет, становится чуть бледнее. Однако полностью цвет кожи малыша определится только в течение некоторого времени после родов. Происходит постепенное разглаживание кожных покровов, которое делает новорождённых такими пухленькими на вид.
Черты лица плода становятся более определёнными, индивидуальными. Ноготки дорастают до кончиков пальцев, причём на этом их рост не заканчивается. Многих мам поражает, насколько длинными бывают ногти их деток при рождении, но на самом деле это совершенно нормально.
На этом сроке многие детки уже располагаются совершенно правильно. Голова – внизу, ягодицы – под грудью матери, ручки и ножки скрещены и прижаты к телу. Ношение бандажа поможет малышу остаться в этом положении и не перевернуться снова.

Однако нельзя забывать, что плод может располагаться иначе и переворачиваться до самых родов. Если на более поздних сроках малыш всё ещё не занял необходимого положения, от бандажа придётся отказаться, чтобы дать ребёнку возможность повернуться как надо.
Шевеления вашего подросшего малыша теперь ощущаются практические постоянно. Сокращения мышц – это тоже тренировка перед рождением. Самые сильные толчки даже могут разбудить вас ночью. Относитесь к этому терпеливо и спокойно. Позднее, особенно сразу после родов, многие мамы признаются, что скучают по ощущению жизни внутри себя и по движениям своего малыша в животике.
Зачем нужны разговоры?
Многим родителям непонятно: для чего говорить с ребёнком, который ещё не родился? Он ведь не соображает ничего и понимать начнёт нескоро! Ответ: чтобы научиться делать это после рождения малыша. Конечно, есть огромное количество «говорящих» игрушек и развивающие мультфильмы чуть ли не с рождения. Но ваш голос и ваше общение незаменимы. К сожалению, родители этого часто не понимают и ограничиваются только дежурными словами вроде «не плачь», «тихо», «спи» и «ешь». А потом удивляются, почему ребёнок плохо выговаривает звуки, не слушается и не может нормально наладить контакт со сверстниками. А начинаются все эти проблемы в последнем триместре беременности.
Спокойные беседы и поглаживания живота имеют ещё одно практическое значение. Почти все мамы замечают, что при таких действиях шевеления плода становятся менее резкими. Если учесть, что сейчас малыш толкается порой весьма болезненно, разговоры и поглаживания принесут облегчение самой маме.
Это не строго научные данные, а наблюдения, но они верны: даже ребёнку, который ещё не родился, нужно ваше внимание и общение. Это касается и родителей, и других родных.
Что происходит с мамой

Срок беременности 31 неделя для большинства женщин становится началом отпуска. При беременности двойней это время наступает на две недели раньше. Многие женщины на это время намечают множество разных дел. Но оказывается, что больше всего хочется отдыхать и отсыпаться. Это вполне нормальное состояние.
С начала беременности вес может увеличиться примерно на 10 кг. Это очень усреднённый показатель. Некоторые мамы даже за все 40 недель столько не набирают, но чувствуют себя прекрасно. Есть женщины с большей прибавкой в весе. К этому необходимо относиться очень внимательно по нескольким причинам:
Мамам на заметку!
Девочки привет) вот не думала, что и меня коснется проблема растяжек, а еще буду писать про это))) Но деваться некуда, поэтому пишу тут: Как я избавилась от растяжек после родов? Очень буду рада, если и вам мой способ поможет…
- Излишняя полнота затрудняет ваши движения.
- Нагрузка на сердце, и без того повышенная, возрастает ещё больше. Это неблагоприятный фактор для здоровья плода и вашего.
- Если избыточный вес – результат обильного питания и неправильной диеты, можете располнеть не только вы, но и ваш малыш. Крупный плод – это трудности при родах и опасность развития ожирения у ребёнка в более позднем возрасте.
- Значительное повышение веса может косвенно указывать на внутренние отёки. Это один из признаков позднего токсикоза. Об этом опасном осложнении беременности читайте здесь.
Психологическая подготовка к родам
Вам необходимо некоторое время уделять мыслям о том, что предстоит через несколько недель. Роды – процесс сложный. Поскольку главным страхом будущих рожениц является страх боли, изучите вопрос родов с анестезией.
Есть несколько методик облегчения страданий женщины на разных этапах родов. Например, спазмолитическая терапия позволит расслабить определённые мышцы и снизить болезненность маточных сокращений.
При эпидуральной анестезии в позвоночник вводится катетер. Препараты снижают болевые ощущения, но сохраняют чувствительность.
Наркотическое обезболивание применяется тогда, когда невозможно применить эпидуральную анестезию, например, при межпозвонковой грыже.
Однако следует помнить, что любой препарат через вашу кровь попадёт к ребёнку. Безвредных лекарств не бывает. Поэтому лучше настроиться вот на что: если боль будет переносима, то от анестезии лучше отказаться. Использовать обезболивающие средства можно и нужно лишь при нестерпимой боли, так как она мешает сосредоточиться на родах и услышать рекомендации врачей и акушерки.
Интересно, что многие мамы после рождения первенцев признавались: их боль была намного меньше ожидаемой и длилась не настолько долго, чтобы стать нестерпимой.
Научный факт. По некоторым данным, высшие животные, родившие с обезболиванием, сразу же бросали своих малышей. Под воздействием анестезии выработка особого гормона привязанности снижалась до критического уровня, и материнский инстинкт просто пропадал.
Существуют и немедикаментозные методы обезболивания родов. К ним относятся ароматерапия, иглоукалывание, точечный массаж. Эти методы не имеют на 100% научного подтверждения своей эффективности и далеко не в каждом родильном доме доступны. Кроме того, любое воздействие на биологически активные точки должно выполняться только профессионалом, иначе могут возникнуть побочные эффекты и наступить неприятные последствия.
Выделения и боли
Подросший животик заставляет сильно сместиться центр тяжести вашего тела. Из-за этого может увеличиться прогиб в пояснице. А во время ходьбы и в положении стоя вы наверняка откидываетесь назад. При беременности двойней это особенно заметно, так как общий вес малышей, матки и околоплодных вод при этом выше. Такое состояние приводит к тому, что у вас то и дело немного побаливает поясница или вся спина. Это состояние практически неизбежно и считается нормальным.
Лёгкие боли, особенно внизу живота и его самопроизвольным напряжением говорят о тренировочных схватках. Здесь нужно обращать внимание на частоту и периодичность. Если схватки повторяются через равные промежутки времени и/или чаще четырёх раз в течение часа, это тревожный признак.
Выделения из влагалища должны быть скудными, прозрачными или белого цвета, без резкого запаха. Из груди может выделяться довольно много молозива. Этот процесс индивидуален для каждой мамы.
О чём не стоит волноваться. Если молозива нет до сих пор, тревожиться не стоит – это просто особенность вашего организма. В некоторых случаях молозиво начинает вырабатываться только накануне родов.
При любых отклонениях от нормы обязательно обращайтесь к врачам. Резкая боль, обильные водянистые выделения и кровотечения означают, что вам необходима неотложная медицинская помощь.
Видео: Боли на 31 неделе беременности:
Преждевременные роды
На 31-й неделе беременности ваш плод ещё не считается доношенным. Если ребёнок родится на этом сроке, он в целом будет жизнеспособен, но во многом недоразвит. Такой новорождённый выживет только при наличии квалифицированной медицинской помощи и специального оборудования.
Наблюдения врача
Как минимум раз в две недели вам необходимо посещать женскую консультацию. За день-два до этого обязательно сдайте плановые анализы крови и мочи, направления на которые врач выдаёт заранее. Такие частые проверки совершенно необходимы. Беременные женщины могут испытывать различные сложности со здоровьем. Многие болезни поначалу не дают о себе знать, протекают бессимптомно. Но в анализах крови и мочи уже будут видны нежелательные изменения в организме, так что лабораторный контроль очень важен.
Вам может быть назначено плановое УЗИ (если вы не прошли его ранее). Во время исследования врач определит основные параметры плода, проверит симметричность развития конечностей (ручки и ножки должны быть одинаковой длины). Плюс проверка расположения плаценты, общего состояния плода, наличия/отсутствия каких-либо патологий.
Фото животиков
УЗИ. 31 неделя беременности (3D)
Фото УЗИ:
Рекомендации
- Питание: мясо, рыба, каши, молочное, овощи, фрукты. Будьте очень внимательны к сроку годности продуктов. При пищевых отравлениях в организме образуется множество токсинов, которые неминуемо попадут в кровь плода и нанесут ему вред.
- Ограничивайте солёное, сладкое и полностью исключите жирную пищу и жареную пищу.
- Если у вас установлено маловодие или, напротив, избыток околоплодных вод, не стоит садиться на водную диету. Количество амниотической жидкости никак не связано с тем, сколько вы пьёте.
- Вокруг вас должно быть много свежего воздуха. Проветривайте помещения, где находитесь, чаще гуляйте.
- Одевайтесь строго по погоде. Переохлаждение легко приведёт вас к простуде, а перегрев может вызвать дурноту и даже обморок.
- Даже если единственное ваше желание – это сидеть, лежать и спать, не забывайте о физической активности. Она нужна для устранения и профилактики периодических отёков, расширенных вен на ногах и для тренировки сердца. Но ваши нагрузки должны быть умеренными, без резких движений и напряжения.
- Лучшим методом физических тренировок считается плавание. Вода поддерживает вас и не позволяет перенапрягаться. Есть мнение, что именно этот вид спорта помогает малышу занять правильное положение в матке.
- Сексуальная жизнь может продолжаться в прежнем режиме, если доставляет удовольствие вам и отцу ребёнка. Противопоказания остаются прежними: маловодие, угроза преждевременных родов, многоплодная беременность.
- Чтобы избежать одышки, ходите и поднимайтесь по лестницам не торопясь. Полноценное дыхание восстановится только ближе к родам, когда ваш живот немного опустится.
- Полностью откажитесь от сидения «нога на ногу», чтобы не нарушать кровообращения в органах малого таза.
- Носите бандаж, чтобы облегчить нагрузку на спину и поясницу.
- Компрессионное бельё и чулки помогут вам легче переносить неприятные ощущения в области поясницы и живота, снизят нагрузку на кровеносные сосуды ног.
Во время отпуска по беременности и родам постарайтесь тщательно подготовиться к встрече с вашим малышом.
← 30 неделя 32 неделя →
Видео гид: 31 неделя беременности что происходит, шевеления, одышка, боли, обезболивание родов
Посещаем бассейн
Мамам на заметку!
Девочки привет! Сегодня я расскажу вам, как же мне удалось прийти в форму, похудеть на 20 килограммов, и, наконец, избавиться от жутких комплексов полных людей. Надеюсь, информация окажется для вас полезной!
Хотите первыми читать наши материалы? Подписывайтесь на наш телеграм-канал
razvitie-krohi.ru


Для поддержания энергии и хорошего самочувствия очень полезны пешые прогулки на свежем воздухе и умеренные физические упражнения.